Atendimento Humanizado
Focamos no cuidado individualizado para garantir conforto, segurança e confiança em cada tratamento.
Na OdontoSul Matinhos, acreditamos que um sorriso saudável é fundamental para a qualidade de vida. Nossa clínica odontológica, localizada na Rua Albano Müller 730, no centro de Matinhos, se destaca pelo atendimento humanizado e pela excelência técnica. Com uma equipe qualificada e tecnologia de ponta, oferecemos tratamentos personalizados, sempre priorizando a saúde bucal em todas as fases da vida. Nossa missão é criar um ambiente acolhedor, onde cada paciente se sinta seguro e respeitado. A saúde do seu sorriso é a nossa prioridade!

Focamos no cuidado individualizado para garantir conforto, segurança e confiança em cada tratamento.
Utilizamos equipamentos modernos que asseguram procedimentos precisos, eficazes e minimamente invasivos.
Nossos profissionais possuem ampla experiência e estão sempre atualizados com as melhores práticas odontológicas.
Investimos na prevenção e na estética, proporcionando sorrisos saudáveis e bonitos que elevam sua autoestima.
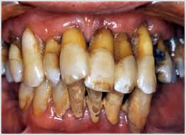
A doença periodontal é uma condição progressiva que, se não tratada, compromete toda a estrutura de suporte dos seus dentes.
O acúmulo de tártaro e placa bacteriana, conforme mostrado na comparação real da imagem, é o principal agente causador dessa inflamação severa. Não espere sentir dor ou perceber dentes moles para buscar ajuda.

Somos uma clínica dedicada a oferecer tratamentos éticos e personalizados focados em prevenção de saúde bucal, respeitando as necessidades de cada paciente para garantir bem-estar e qualidade de vida.